
ปัญหาสุขภาพที่พบได้บ่อยในผู้สูงอายุก็คือ การเสื่อมถอยของอวัยวะต่าง ๆ ภายในร่างกายที่เป็นไปตามอายุและช่วงวัยที่มากขึ้น ดวงตาก็เช่นเดียวกันผู้สูงอายุส่วนใหญ่มีอาการตามัวมองภาพหรือสิ่งต่าง ๆ ไม่ชัดเจน ทำให้มีปัญหาในการอ่านตัวหนังสือ สัญญาณเตือนเหล่านี้เป็นอาการของต้อกระจกใช่หรือไม่ หากเป็นแล้ว การรักษาและการดูแลสุขภาพดวงตาควรทำอย่างไร ? aufarm.shop มีความรู้เรื่องต้อกระจกมาแนะนำค่ะ
โรคต้อกระจก คืออะไร
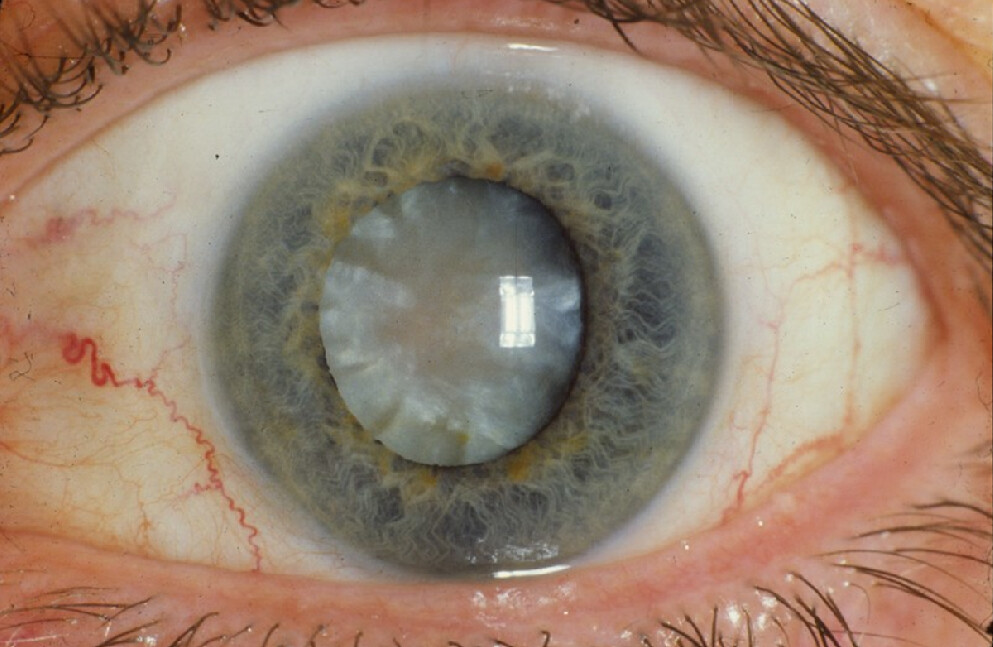
โดยปกติดวงตาของคนจะมีลักษณะโปร่งใส แสงสามารถผ่านเข้าไปได้ มีแก้วตาและกระจกตาทำหน้าที่ร่วมกันในการหักเหแสง ให้ตกอยู่ที่จอประสาทตาทำให้เกิดการมองเห็น โรคต้อกระจกก็คือ โรคที่แก้วตามีอาการเสื่อม โดยจะมีลักษณะจากใสกลายเป็นสีขาวขุ่น ทึบแสง จนแสงจากภายนอกไม่สามารถผ่านเข้าไปได้ ทำให้เกิดการรวมแสงที่จอเรติน่าหรือจอประสาทตาได้ไม่เต็มที่ ทำให้มีอาการสายตามัว ฝ้าฝาง จนส่งผลให้การมองเห็นไม่ชัดหรือมีอาการพร่ามัว
สาเหตุของต้อกระจก
ต้อกระจก นอกจากเป็นโรคที่มาพร้อมกับความเปลี่ยนแปลงของอายุที่มากขึ้น เพราะส่วนใหญ่พบในคนที่มีอายุตั้งแต่ 40 ปีขึ้นไป และต้อกระจกยังเกิดขึ้นได้จากหลายสาเหตุ ดังนี้
- เกิดจากความเสื่อมถอยของอวัยวะต่าง ๆ ภายในร่างกาย ประมาณ 80% พบในผู้สูงอายุที่มีอายุตั้งแต่ 60 ปีขึ้นไป
- เกิดจากสาเหตุอื่น ๆ ประมาณ 20 % เช่น
– จากโรคประจำตัวของผู้ป่วยในวัยกลางคน เช่น โรคต่อมไทรอยด์ผิดปกติ โรคภูมิแพ้ที่ผิวหนัง โรคเบาหวาน และโรคความดัน
– เกิดอุบัติเหตุที่ดวงตาอย่างรุนแรง เช่น โดนสะเก็ดไฟหรือเศษเหล็กกระเด็นเข้าที่ดวงตาขณะทำงาน เกิดการกระแทกชนจากอุปกรณ์ต่าง ๆ จากการเล่นกีฬา เกิดจากของมีคมทิ่มแทง เกิดอุบัติเหตุทางรถยนต์ การเกิดอุบัติเหตุที่ดวงตาถึงแม้จะรักษาหายแล้ว ก็พบว่ายังสามารถเป็นต้อกระจกได้ในภายหลัง
– มีความผิดปกติหลังการใช้ยารักษาโรคบางชนิด เช่น การกินยาสเตียรอยด์เป็นเวลานาน ๆ
– จากการเป็นโรคภูมิแพ้ โรคหืด หอบ และโรคข้อ
– เกิดจากการดื่มแอลกอฮอล์และสูบบุหรี่ ซึ่งพบว่าผู้ที่อยู่ในกลุ่มเสี่ยงนี้จะเป็นผู้ที่มีโอกาสเป็นต้อกระจกได้สูง
– เกิดจาการถูกรังสีในผู้ป่วยที่เป็นโรคมะเร็งและผู้ที่ถูกแสงแดดเป็นเวลานาน ๆ
– เกิดจากความผิดปกติตั้งแต่กำเนิด เนื่องจากมีมารดาเป็นหัดเยอรมันขณะตั้งครรภ์
– เกิดจากสาเหตุอื่น ๆ เช่นพันธุกรรม
อาการของต้อกระจก
- มักมีสายตาพร่ามัวเมื่ออยู่ในที่แสงจ้าหรือออกแดด โดยอาการสายตามัวนี้จะค่อย ๆ เป็นไปอย่างช้า ๆ ใช้เวลาเป็นปีโดยไม่มีอาการเจ็บปวด และจะกลับมามองเห็นได้ชัดขึ้นเมื่ออยู่ในที่มืด
- ผู้ป่วยจะรู้สึกว่าตาค่อย ๆ มัวลงเรื่อย ๆ อย่างช้า ๆ โดยไม่มีอาการเจ็บปวดหรือตาแดงแต่อย่างใด
- มักมองเห็นวัตถุต่าง ๆเป็นภาพซ้อน โดยจะเป็นได้ทั้งการใช้สายตามองเพียงข้างเดียวหรือทั้งสองข้าง
- มีอาการปวดตาหรือปวดศีรษะในรายที่เป็นมาก ๆ
- เป็นฝ้าขาวที่บริเวณรูม่านตา ซึ่งจะเกิดอาการนี้ก็ต่อเมื่อผู้ป่วยเป็นต้อกระจกขั้นรุนแรงหรือเป็นมากแล้ว
ภาวะแทรกซ้อนของต้อกระจก
ภาวะแทรกซ้อนของต้อกระจก โดยทั่วไปจะไม่พบภาวะแทรกซ้อนที่เกิดจากอาการของโรค แต่จะมีเพียงภาวะแทรกซ้อนที่เกิดหลังการผ่าตัด ดังนี้
- เกิดภาวะถุงเลนส์ตาขุ่นหลังการผ่าตัด ทำให้การมองเห็นพร่ามัว แต่อาการก็จะดีขึ้นภายใน 2-3 วัน
- มีอาการบวมแดง เจ็บ มองไม่เห็นหลังการผ่าตัด กรณีนี้ควรไปพบจักษุแพทย์ทันที
- แพทย์ไม่สามารถเอาต้อกระจกออกมาได้หมด ซึ่งก็สามารถรักษาได้ด้วยการใช้ยาหรือการผ่าตัดเพิ่มเติม
ขั้นตอนการรักษาต้อกระจก
การรักษาโรคต้อกระจกที่ได้ผลดี คือการรักษาด้วยวิธีผ่าตัดสลายต้อกระจก ซึ่งมีขั้นตอนการรักาษา ดังนี้
- การใช้คลื่นอัลตราซาวด์ผ่านท่อขนาดเล็กสอดเข้าไปในดวงตา โดยการเปิดแผล 2-3 มิลลิเมตร คลื่นอัลตราซาวด์จะทำให้ฝ้าขุ่นมัวเกาะอยู่ที่ดวงตาแตกออกเป็นชิ้นเล็ก ๆ จากนั้นก็จะดูดชิ้นส่วนที่แตกออกมา
- รักษาด้วยวิธี Intraocular lens หรือ IOLเป็นการผ่าตัดโดยใช้ยาชาเพื่อไม่ให้รู้สึกเจ็บ และไม่ให้มีการเคลื่อนไหวดวงตา จากนั้นก็จะนำเลนส์แก้วตาเทียมใส่เข้าไป
วิธีดูแลสุขภาพดวงตา ให้ห่างไกลจากโรคต้อกระจก
การดูแลสุขภาพดวงตาเพื่อลดความเสี่ยงจากการเป็นต้อกระจก ควรปฏิบัติตน ดังนี้
- ควรตรวจวัดสายตาอย่างสม่ำเสมอโดยเฉพาะผู้ที่มีอายุ 40 ปีขึ้นไป รวมทั้งผู้ที่เป็นโรคเบาหวาน ความดันสูง
- เมื่อพบความผิดปกติที่เกิดขึ้นกับดวงตา หรือมีปัญหาสายตาควรพบจักษุแพทย์ทันที
- หลีกเลี่ยงการดื่มแอลกอฮอล์ หรือสูบบุหรี่
- สวมแว่น เพื่อป้องกันอันตรายทุกครั้งเมื่อต้องทำงานที่อาจเกิดอันตรายกับดวงตา เช่น สวมแว่นกันแดดเมื่อต้องออกไปเจอแดด หรือเมื่อทำงานเกี่ยวข้องกับสารเคมี ควรสวมแว่นป้องกันสารเคมี
- รับประทานอาหาร ที่มีสารอาหารช่วยบำรุงสายตา เช่น อาหารที่มีโปรตีนสูง ผักและผลไม้ที่มีวิตามินเอและสารต้านอนุมูลอิสระ ทานผักใบเขียว ผักบุ้ง แครอท มะละกอ และกล้วย
- พักสายตาเป็นระยะโดยเฉพาะผู้ที่ต้องใช้สายตานาน ๆ
โรคต้อกระจก แม้สาเหตุหลักจะเกิดจากความเสื่อมถอยของอวัยวะต่าง ๆ ภายในร่างกาย ที่เกิดขึ้นตามธรรมชาติ เมื่อมีอายุที่มากขึ้น แต่หากรู้ทันอาการของโรค ปรับและลดพฤติกรรมเสี่ยง หากมีอาการผิดปกติหรือมีสัญญาณเตือนที่เป็นปัญหาเกี่ยวกับสายตา ควรพบจักษุแพทย์เพื่อตรวจวินิจฉัยหรือขอคำแนะนำในการป้องกันตนเองให้ห่างไกลจากโรคต้อกระจก
-
฿690.00
฿1,180.00Multi Complex 7 Berry 1 กล่อง แถม 1 กล่อง
฿690.00฿1,180.00 -
฿990.00
฿1,770.00Multi Complex 7 Berry 2 กล่อง แถม 1 กล่อง
฿990.00฿1,770.00 -
฿1,390.00
฿2,950.00Multi Complex 7 Berry 3 กล่อง แถม 2 กล่อง
฿1,390.00฿2,950.00






